The Smile Suite
HOME
WHO WE ARE
Our Team
Orthodontic Technology
Practice Pictures
WHAT WE DO
View All
Invisalign
Ceramic Braces
Post-Orthodontic Retention
Orthodontics Before Cosmetic Dentistry
Temporary Anchorage Devices (TADs)
Orthodontic Jaw Surgery
Special Occasions
ZOOM Professional Teeth Whitening
Treatment for Younger Patients
OUR OUTCOMES
PATIENT INFO
View PATIENT INFO
Patient Care
Financial
FAQs
REFER TO US
CONTACT
The Smile Suite
Contact Us
Like us on Facebook
Leave a Google Review
No Referral Required
(02) 9369 1256
Tower 1 Level 16 Suite 1602 520 Oxford St Bondi Junction
The Smile Suite
>
OUR OUTCOMES
>
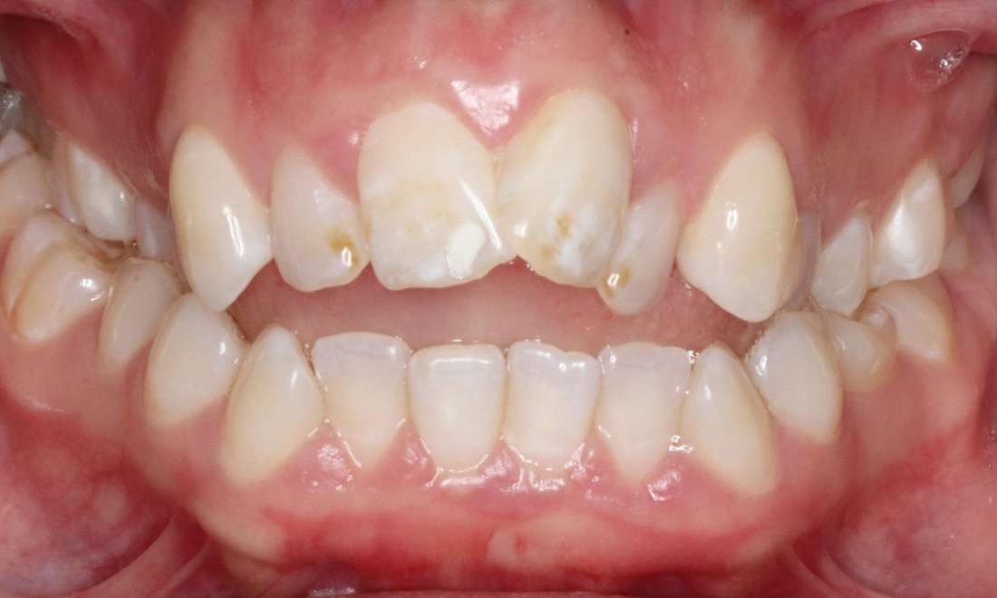
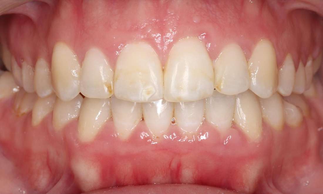
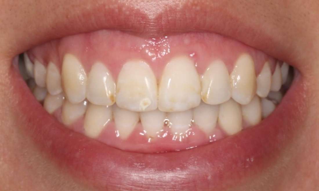
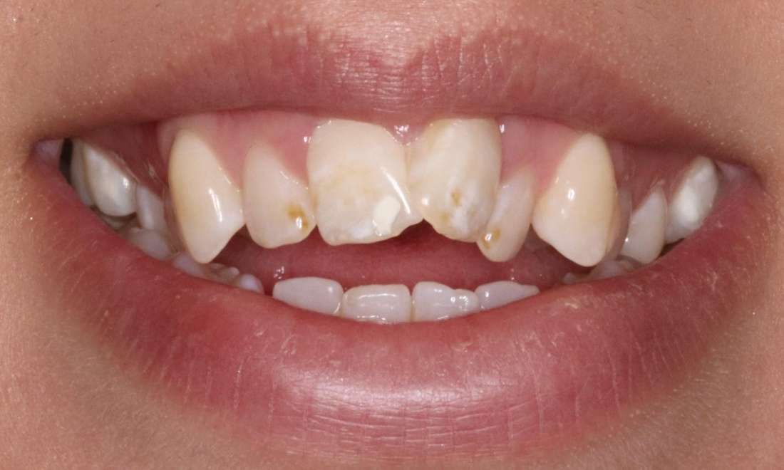
Smile 5
Smile 5
Return to Smile Gallery
Previous
Next
Drag the arrows back and forth to view complete Before and After views
Still need an appointment?
Contact Us
Any surgical or invasive procedure carries risks. Before proceeding, you should seek a second opinion from an appropriately qualified health practitioner.
OK!
×
×
Contact Us Today
Give Us A Call
The Smile Suite -
(02) 9369 1256
Send Us an Email
×
This Patient's Experience
Loading Testimonial...
Loading Case...